Semana 01/06
Caso Clínico 1
ID: CGG, feminina, 61 anos, branca, solteira, funcionária pública (agente administrativa), natural de Santo Antônio do Aventureiro (MG), residente no Rio de Janeiro (RJ).
HMA: Paciente vem à consulta com queixa de dispnéia há cinco anos, iniciada aos grandes esforços (subir uma ladeira) e hoje observada ao realizar caminhadas no plano, mas com alguns episódios também ao tomar banho e ao repouso. Queixa-se de tosse produtiva episódica, com expectoração mucóide e eventualmente purulenta, há mais ou menos 40 anos, ocasião em que recebeu o diagnóstico de bronquiectasia, porém sem segmento clínico adequado. Surgiu, na mesma época da tosse, edema de membros inferiores, que reduz com o uso de diuréticos, porém sem desaparecer. Refere ainda episódios freqüentes de sinusite, com cefaléia frontal e secreção purulenta nasal. Nega dor torácica, sibilância, hemoptóicos ou febre. Não há emagrecimento, adinamia ou outros sintomas.
Em maio de 2007, procurou atendimento médico por causa de dispnéia. Na época, a radiografia de tórax evidenciou derrame pleural bilateral e o ecocardiograma realizado não mostrou alterações. Novamente, a paciente não prosseguiu com acompanhamento médico. Agora, em função da piora da dispnéia, apesar do uso de diuréticos e inibidores da enzima conversora de angiotensina (IECA) durante uma semana, foi submetida à internação para investigação diagnóstica.
Apetite, sono, função urinária preservados. Constipação intestinal. Menopausa aos 52 anos, com uso de terapia de reposição hormonal injetável mensal por cinco anos, interrompida há quatro anos. Apresentou salpingite há 30 anos com necessidade de tratamento cirúrgico e miomectomia há três anos. Pai falecido por câncer de próstata e avô por uma doença pleural não esclarecida. Ex-tabagista, abstinente há 20 anos, com história de 20 anos/maço. Não etilista.
Exame físico
Corada, hidratada, anictérica, acianótica e afebril.
Sem linfonodos palpáveis em cadeias cervicais, axilares, epitrocleares ou inguinais.
FC=76 bpm
PA=130x80 mmHg
FR=20 irpm.
Murmúrio vesicular abolido nas bases, Frêmito toraco-vocal abolido nas bases pulmonares
Abdome PLANO, indolor, sem massas palpáveis e ruídos hidroaéreos presentes.
Membros inferiores com edemas maleolares (+/4), panturrilhas livres e pulsos palpáveis.
Exames complementares iniciais
Ecocardiograma (26/07/07):
- Diâmetros cavitários normais.
- Função sistólica global e segmentar do VE preservada.
- Relaxamento diastólico do VE normal.
- Valvas e pericárdio normais.
- Derrame pleural à esquerda
- Fração de ejeção do VE=70%
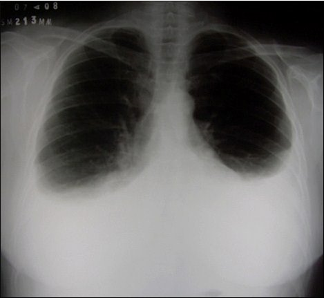
Rx de torax em 07/04/2008 evidencia imagem de hipotransparência em terço inferior de campos pleuropulmonares bilaterais, do tipo derrame pleural.

Novo ecocardiograma (12/04/2008)
- Diâmetros cavitários normais.
- Função sistólica global e segmentar do VE preservada.
- Valvas cardíacas normais.
- Doppler com fluxos normais.
- Derrame pericárdico leve a moderado.
- Fração de ejeção do VE= 68%
ECG:
Ritmo sinusal, com eixo a +60º, complexos de baixa voltagem
Hb=14,8 g/dL
Htc=45,2%
Leucócitos=5.600/mm3 (basófilos=0%, bastões=5%, neutrófilos=60%, eosinófilos=2%, linfócitos=30%, monócitos=3%)
Plaquetas=295.000/mm3
LDH=349 U/L (referência 200-248 U/L)
Bioquímica toda normal
Sódio=142 mEq/L
Potássio=4,6 mEq/L
Glicose=89 mg/dL
Uréia=39 mg/dL
Creatinina=1,0 mg/dL
Proteína total=6,41 g/L
Albumina=3,71 g/L
TGO=18U/L
TGP=10U/L
Fosfatase alcalina=54U/L
GGT = 13U/L
TSH = 2,0 mU/L
T4livre = 1,5 ng/dL
Espirometria do paciente:

Sociedade Brasileira de Pneumologia e Tisiologia:
Medicina Atual/Pneumologia: